



Una de las condiciones más crueles y devastadoras, Enfermedad de HuntingtonFue tratada por primera vez por primera vez, según un equipo de médicos.
MIRAR: En el mundo hay más niños con sobrepeso que con bajo peso por primera vez en la historia: ¿Cuál es la situación en América Latina?
La enfermedad, que es hereditaria, destruye implacablemente las células cerebrales y se asemeja a una combinación de demencia, parkinson y enfermedad de motoneurona.
El equipo de investigación estaba entusiasmado con las lágrimas al describir cómo los datos muestran que la enfermedad disminuyó el 75% en los pacientes.
Esto significa que el deterioro que normalmente se esperaría en un año tomaría cuatro años en ocurrir después del tratamiento, lo que proporciona a los pacientes «buena calidad de vida», explicó la profesora Sarah Tabrizi a la BBC.
El nuevo tratamiento es un tipo de terapia génica que se administra durante una delicada cirugía cerebral entre 12 y 18 horas.
Resultados «espectaculares»
Los primeros síntomas de la enfermedad de Huntington generalmente aparecen entre 30 y 40 años y generalmente es mortal en dos décadas, lo que abre la posibilidad de que el tratamiento temprano pueda prevenir la aparición de síntomas.
Tabrizi, director del Centro de Enfermedades de Huntington de la Universidad de la Universidad de Londres (UCL), describió los resultados como «espectaculares».
«Ninguno de nuestros mejores sueños hubiera esperado una desaceleración del 75% en la progresión clínica», dijo.
Jack May-Davis tiene el gen que causa la enfermedad de Huntington.
La identidad de cualquiera de los pacientes tratados no ha sido revelada, pero uno de ellos que se había retirado por razones médicas volvió al trabajo. Otros participantes en el ensayo continúan caminando a pesar de que se esperaba que necesitaran una silla de ruedas.
Es probable que el tratamiento sea muy costoso. Sin embargo, es un momento de verdadera esperanza para una enfermedad que afecta a las personas en la flor de la vida y devasta a las familias.
Futuro «más brillante» futuro
La enfermedad de Huntington es hereditaria en la familia de Jack May-Davis. Tiene el gen defectuoso que causa la enfermedad, al igual que su padre, Fred y su abuela Joyce.
Jack dice que fue «realmente terrible y horrible» al ver el inexorable deterioro de su padre.
Los primeros síntomas aparecieron cuando Fred tenía poco más de 30 años, incluidos los cambios en su comportamiento y su forma de moverse.
Finalmente, necesitaba cuidados paliativos las 24 horas del día, los 7 días de la semana, antes de morir a los 54 años, en 2016.
Jack tiene 30 años, es un asistente de abogado, acaba de comprometerse con Chloe y ha participado en una investigación de UCL para convertir su diagnóstico en algo positivo.
Jack, cuando era niño, con su padre, Fred, quien murió por la enfermedad de Huntington.
Pero siempre supo que estaba destinado a compartir el destino de su padre, hasta hoy.
Ahora dice que el avance «absolutamente increíble» le está permitiendo mirar hacia un futuro que parece «un poco más brillante».
«Me permite pensar que mi vida podría ser mucho más larga», dice.
Tratamiento
La enfermedad de Huntington es causada por un error en una parte de nuestro ADN llamado Huntingtina.
Si uno de sus padres tiene la enfermedad de Huntington, existe un 50% de posibilidades de que herede el gen alterado y, con el tiempo, también desarrolle la enfermedad.
Esta mutación convierte una proteína normal necesaria en el cerebro, llamada proteína Huntingtina, en un asesino de neuronas.
El objetivo del tratamiento es reducir los niveles de esta proteína tóxica de forma permanente, con solo una dosis.
La terapia utiliza la medicina genética Avant -Garde que combina las tecnologías de terapia génica y silencio génico.
Gráfico que muestra el funcionamiento de la terapia génica para la enfermedad de Huntington
La terapia comienza con un virus seguro que se ha modificado para contener una secuencia de ADN especialmente diseñada.
Esto se infunde profundamente en el cerebro utilizando una resonancia magnética en tiempo real para guiar un microcatéter hasta dos regiones del cerebro: el núcleo caudido y el putamen. Esto requiere entre 12 y 18 horas de neurocirugía.
A continuación, el virus actúa como un cartero microscópico, que administra el nuevo fragmento de ADN dentro de las células cerebrales, donde se activa.
Esto hace de las neuronas una fábrica para producir la terapia que evita su propia muerte.
Las células producen un pequeño fragmento de material genético (llamado microarn) que está diseñado para interceptar y desactivar las instrucciones (llamadas ARN mensajero) que las células envían desde su ADN para construir huntingtina mutante.
Esto da como resultado niveles más bajos de huntingtina mutante en el cerebro.
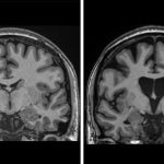
Dos escáneres cerebrales uno al lado del otro. El de la izquierda es saludable, el de la derecha muestra la pérdida de materia cerebral a medida que las neuronas mueren en la enfermedad de Huntington.
Los resultados del ensayo, en el que participaron 29 pacientes, se publicaron en una declaración de la compañía Uniqure, pero aún no se han difundido en su totalidad para que otros especialistas los revisen.
Los datos mostraron que, tres años después de la cirugía, hubo una desaceleración promedio del 75% de la enfermedad, según una medida que combina cognición, función motora y la capacidad de desarrollarse en la vida diaria.
También muestran que el tratamiento está guardando células cerebrales.
Los niveles de neurofilamento en el líquido cefalorraquídeo, una clara indicación de la muerte de las células cerebrales, deberían haber aumentado en un tercio si la enfermedad hubiera seguido progresando, pero en realidad eran más bajas que al comienzo del ensayo.
«Este es el resultado que estábamos esperando», dijo el profesor Ed Wild, neurólogo del Hospital Nacional de Neurología y Neurocirugía de UCL.
«Hubo muchas posibilidades de que nunca vimos un resultado como este, por lo que vivir en un mundo en el que sabemos que no solo es posible, sino que la magnitud real del efecto es impresionante, es muy difícil de expresar con palabras la emoción que siento».
Dijo que «salta las lágrimas» al pensar en el impacto que podría tener en las familias.
El tratamiento se consideró seguro, aunque algunos pacientes desarrollaron inflamación por el virus que causó dolores de cabeza y confusión, lo que resolvió o requirió tratamiento con esteroides.
La salvaje prevé que la terapia «dura toda la vida», ya que las células cerebrales no son reemplazadas por el cuerpo de la misma manera que la sangre, los huesos y la piel se renovan constantemente.
El Dr. Walid Abi-Saab, director médico de Uniqure, dijo que estaba «increíblemente emocionado» por lo que significan los resultados para las familias, y agregó que el tratamiento tiene «el potencial de transformar fundamentalmente» la enfermedad de Huntington.
Sin embargo, el medicamento no estará disponible para todos debido a la gran complejidad de la cirugía y al costo esperado.
«Ciertamente será costoso», dijo Wild.
No hay precio oficial para el medicamento. Las terapias genicas suelen ser caras, pero su impacto a largo plazo hace que sean asequibles.
El profesor Tabrizi afirma que esta terapia génica «es el comienzo» y abrirá las puertas a los tratamientos que pueden llegar a más personas.
Elogió a los voluntarios «realmente valientes» que participaron en el juicio, y fue «encantado con los pacientes y sus familias».
Ya está trabajando con un grupo de jóvenes que saben que tienen el gen, pero que todavía no tienen síntomas (conocidos como Huntington en la etapa cero) y su objetivo es realizar el primer ensayo de prevención para ver si la enfermedad puede retrasarse significativamente o incluso detenerse por completo.
«
haga clic aquí Leer más historias del mundo de las noticias de la BBC.
Suscríbete aquí A nuestro nuevo boletín para recibir todos los viernes una selección de nuestro mejor contenido de la semana.
También puedes seguirnos en YouTube, Instagram, Tiktok, incógnita, Facebook y en nuestro Canal de whatsapp.
Y recuerde que puede recibir notificaciones en nuestra aplicación. Descargue la última versión y ACT.